光學顯微鏡可以觀察到神經細胞嗎?答案是可以,而且還是主流方案,因為光學顯微鏡才適合做活細胞動態觀察,尤其基于光學顯微鏡的熒光觀察,還是神經元研究的主流配置,高的配置甚至可以直接看到神經元信號活動,比如味覺也是可以成像的一種神經元信號,這都是科技與狠活。
·神經元簡介

神經元結構圖
神經元又稱神經細胞,是神經系統的基本結構和功能單位。
神經元結構分為細胞體和突起兩部分:細胞體是信息整合和處理中心,由細胞核、細胞膜、細胞質組成,包含尼氏體等特有結構;突起是信號傳輸末梢,分為樹突和軸突,樹突起始粗分支細,負責傳入,可能有多個,軸突相對細且均一,負責傳出,只有一個。
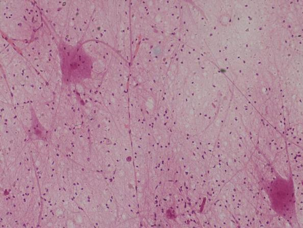
·科教應用:明場+染色觀察

明場下的染色神經元
和其他各種細胞一樣,神經元幾乎是透明的,不能直接用明場觀察,為了滿足科教等應用,可以用姬姆薩染色法等方式將神經元處理成染色樣品,以便生物顯微鏡進行明場觀察。
但這些處理會影響細胞活性,不適合動態觀察。
·動態觀察應用:相襯觀察

相襯觀察的神經元
相襯觀察是觀察神經元生長和遷移的常用方案,因為這種觀察方式不需要染色,對細胞活性非常友好,適合長時間成像,比如通過時延拍攝或長時間視頻,記錄神經元的生長和遷移。
倒置顯微鏡通常配備相襯環和相襯物鏡,可以進行相襯觀察,同時對培養皿有更好的支持,因此是神經元觀察的常用方案。
·科研級應用:熒光觀察

熒光觀察下的神經元
倒置熒光顯微鏡是神經元相關研究的常用設備,利用活細胞示蹤劑等特異性熒光染色,不僅可以標記出肌動蛋白絲等亞細胞結構,還能對細胞運動、遷移等進行監測。
使用倒置熒光顯微鏡的另一個好處是,樣本上方有較大的操作空間,可以加上膜片鉗等設備,以進行電生理研究。

熒光觀察下的神經元
熒光觀察下,高亮的特異性熒光和黑色的背景有很高的對比度,是神經元相關論文研究的理想配圖。常見的研究對象包括小鼠、果蠅和斑馬魚等。

神經元熒光成像
染料選擇方面,U通道的染料通常有細胞毒性,而且紫外線激發也有光毒性,因此神經元相關研究一般用B通道和G通道等細胞毒性和光毒性更低的方案,兩個通道合成后,熒光重疊的部分會呈現出黃色熒光。

斑馬魚神經元信號
如果使用光片熒光顯微鏡、神經元鈣離子成像等技術,我們甚至可以觀察斑馬魚等透明活體目標的神經元信號活動,當信號傳遞時,可以觀察到熒光在水平切面的亮起、傳遞、熄滅,有如煙花在夜空綻放,非常震撼。
如果你想看神經元,建議還是選擇倒置熒光顯微鏡,既可以用相襯動態觀察活細胞,也可以熒光標記觀察各種想研究的細節,還能加上各種配件做成電生理平臺。人類的感覺、思考和記憶,無一例外都跟神經元有緊密關系,研究神經元是腦科學的一大重點,光片熒光顯微鏡、TIRF全內反射熒光顯微鏡、機器學習等新科技也在這個前沿科學中嶄露頭角,這是個非常有潛力、有意思的課題。
文章來源:明美光電
原文章鏈接:https://baijiahao.baidu.com/s?id=1746373756672439424&wfr=spider&for=pc
如果有侵權,請聯系我們刪除,謝謝~